High Temperature Resistant Laser Fiber | Disposable Bare Fiber for Medical Applications - Medfibers

Premium High Temperature Resistant Laser Fiber with SMA905/FC Connector for Dentistry, ENT & Urological Surgery

Fiber
CONTACT US









    Please complete the verification before submitting!

    Disposable Bare Fiber

    Our High Temperature Resistant Laser Fiber (disposable bare fiber) is made of high-quality silica material with excellent high temperature resistant and optical transmission performance, widely used in clinical applications such as dentistry, ENT, urology and cosmetic surgery.

    Properties

    Standard SMA/FC connector Flat/air gap connector available Extension sleeve available in various colors Self-design on request Various tools available (fiber cutter、fiber stripper、fiber connector cleaner,etc) Standard length 3m

    Product Details

    Durability and Flexibility

    • Fiber tensile strength no less than 4.9N.
    • After tensile strength experiment, fiber emission efficiency no less than 90% as before.
    • Minimum bending radius 200d, fiber emission efficiency no less than 90% than before.
    • Silica fiber has excellent high temperature resistant and optical transmission performance, with widely clinical application.
    No Silicon Disposable Bare Fiber - Medfibers Medical Laser Fiber Polyimide Coated High Temperature Resistant Laser Fiber - Bare Fiber for Medical Surgery Silicon Tube Bare Fiber - Flexible for Surgical Applications

    Ordering Information

    Connector Core[μm] Length[m] Silicon tube Fiber Material
    SMA905 / FC 200 3.0 Yes / No Quartz / Polyimide
    300 3.0
    400 3.0
    600 3.0

    Applications

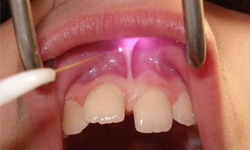
    Disposable Bare Fiber for Dental Applications - Periodontal Treatment & Tooth Whitening

    Dentistry

    periodontal treatment, oral surgery, tooth whitening
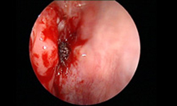
    Bare Fiber for ENT Surgery - Tumor Resection & Tonsillectomy

    ENT

    tumor resection, tonsillectomy, cartilage resection
    Bare Fiber for PLDD - Intervertebral Disc Herniation Treatment

    PLDD

    intervertebral disc herniation, discectomy, meniscectomy
    Bare Fiber for Cosmetic Surgery - Laser Lipolysis & Varicose Veins

    Cosmetic

    laser lipolysis, hemangioma, lower extremity varicose veins
    Bare Fiber for Urology - Prostate Resection & Nephrectomy

    Urology

    benign prostatic hyperplasia, resection of prostate, partial nephrectomy